![]()
![]()
病理
· 医学之本
医界先导W.Dsler教授曾说过“病理乃医学之本”。病理主要是用显微镜观察人体组织细胞变化,必要时结合相关特殊染色作出疾病诊断,是临床医师确定患者临床诊断、治疗方案和评估预后的重要依据,因此在业界,病理科医生也被称为“医生的医生”。
科室风采丹凤县医院病理科成立于1980年5月,是丹凤县域内技术力量最雄厚、规模及病检量最大的病理科,承担全县大部分的临床病理、细胞学检查及病理科教研工作。科室现有工作人员5名,其中主治医师3名,技术员2名。科室人员曾先后到西安交通大学第一附属医院、西安交通大学第二附属医院进修学习,并与多家上级医院病理科保持合作医疗关系。
设备引进经过多年发展,科室现拥有德国蔡氏生物显微镜3台、麦克奥迪数字切片扫描系统、全自动组织脱水机、包埋机1台、德国徕卡石蜡切片机1台、全自动液基薄层细胞检测仪(TCT)1台、HPV检测系统等先进的医疗设备。
![微信图片_20210414094459_副本.jpg]()
麦克奥迪病理数字切片扫描系统
![微信图片_20210414103711_副本.jpg]()
![1.jpg]()
![病理1.jpg]()
![2.jpg]()
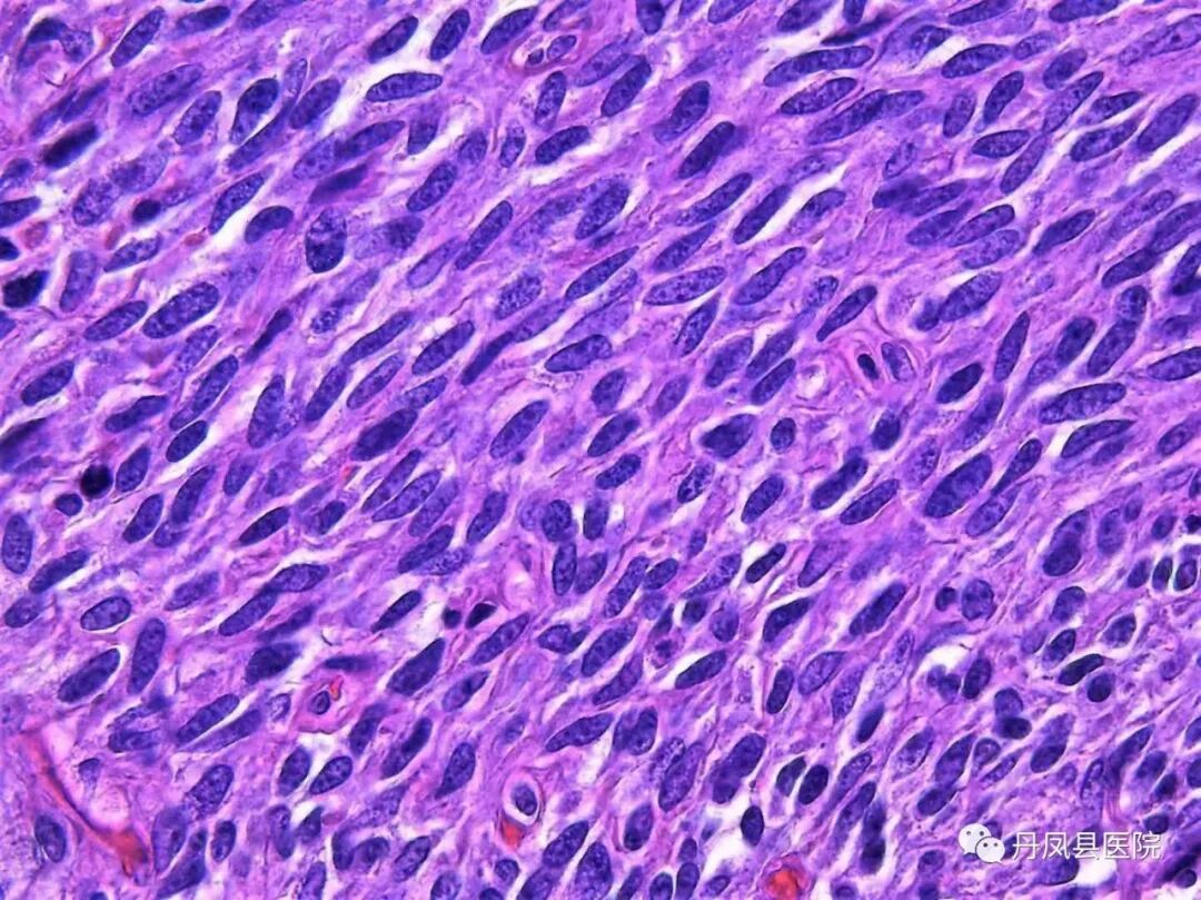
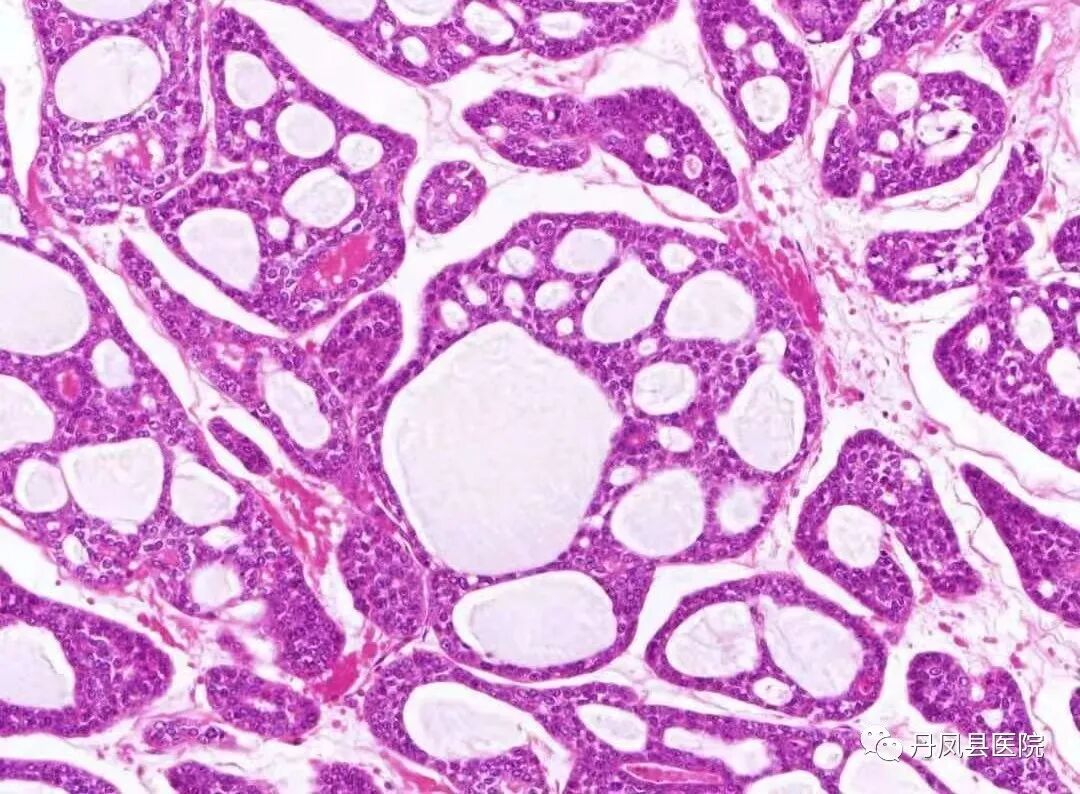
开展项目【活体组织检查】所有手术标本,身体各部位的穿刺组织标本、骨骼标本以及胃镜、肠镜、喉镜的活体标本,均可进行活体组织检查,为临床诊疗提供依据。![]()
【脱落细胞学检查】以人体各种体腔积液(如胸腹水、关节腔积液)或含腔道器官(气管、食管、生殖道、泌尿道等)黏膜或组织表面脱落或刮取的细胞制作成涂片,并进行适当染色后作光镜观察,用于诊断疾病(主要为肿瘤)的一种方法。临床上比较常用的有阴道涂片或子宫颈刮片诊断早期宫颈癌,痰涂片诊断肺癌,尿涂片诊断泌尿道肿瘤,胸、腹水涂片诊断胸、腹腔器官的肿瘤等。
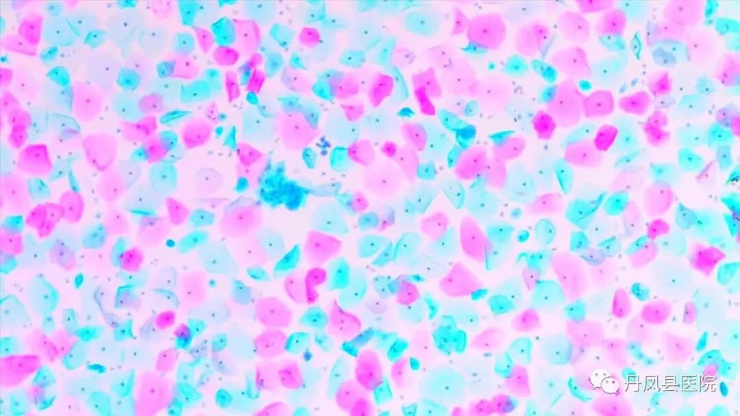
【TCT检查】TCT检查是液基薄层细胞检测的简称,采用液基薄层细胞检测系统检测宫颈细胞并进行细胞学分类诊断,它是目前国际上最先进的一种宫颈癌细胞学检查技术,与传统的宫颈刮片、巴氏涂片检查相比,明显提高了标本的满意度及宫颈异常细胞检出率。TCT宫颈防癌细胞学检查对宫颈癌细胞的检出率为80%以上,同时还能发现部分癌前病变,微生物感染如霉菌、滴虫、病毒、衣原体等。所以TCT技术是应用于妇女宫颈癌的筛查的最先进的技术。
![]()
【人乳头瘤病毒检测】HPV又称作是人乳头瘤病毒,这种病毒的感染与女性的宫颈癌症的发生、尖锐湿疣的发生、宫颈上皮内瘤变的发生等关系非常密切,是宫颈癌筛查的首选,对早期宫颈癌筛查、不典型鳞状细胞的诊断与监控、术后随访均有重要意义。![]()
病理诊断流程由于病理科没有直接和病人接触,许多人在主观上存在误区,认为手术后当天或者第二天就可以拿到报告,但实际上从收到标本到出报告需要3-5个工作日,甚至更长。那么,通常病理科的工作流程是怎样的呢?一份到手的病理报告究竟是如何产生的呢?从手术台上切下来的标本送病理检查后经历了什么呢?接下来为大家揭秘“神秘的病理诊断”。
![]()
![]()
宫颈癌知识科普![]()
![]()
宫颈癌在我国女性恶性肿瘤死亡排名中占第二位,患病率位居女性生殖道恶性肿瘤的首位。我国每年约有13万女性被诊断为宫颈癌,其中约5.3万例死亡。我国宫颈癌中东部地区的发病率较高,而西部地区的死亡率较高。我国女性宫颈癌发病率城市高于农村,而宫颈癌导致的病人死亡率是农村高于城市。我国自20世纪50年代末期就积极开展了宫颈癌的防治工作,全国宫颈癌死亡率从20世纪70年代到20世纪90年代下降了69%。
研究表明,宫颈癌由高危型HPV病毒持续感染引发,进展成宫颈癌是长期的过程,宫颈口的细胞会在这期间不断发生变化,所以目前对于宫颈癌的筛查主要有两个方面:一是从病毒感染的角度做HPV检测,二是观察宫颈口的细胞是否发生病变,也就是TCT检测。由于两者检测均有优缺点,而两者联合能有效的提升筛查准确率,所以目前筛查推荐两者同时检测。
宫颈癌筛查年龄
1.女性从21岁起开始宫颈癌筛查;
2.21-29岁仅进行TCT检测;
3.30-65岁每三年进行一次HPV+TCT联合检测,每年一次TCT检测。
宫颈癌筛查注意事项
1.检查前的24小时内避免同房;
2.检查前避免进行盆浴、阴道灌洗及局部用药;
3.不宜在行经前后、妊娠期、应用雌激素药物后进行检查。
科室在2016年已开展TCT和HPV检测项目,现技术成熟、经验丰富、检测人员均经过专业培训并通过考核,报告准确率高。
![]()
我院病理科始终以“科学、客观、精准”为目标,本着“热情、细致、严谨”的工作作风和“以患者为中心”的服务理念,以丰富的病理诊断经验为广大患者提供优质精准的病理诊断与技术服务。
科主任简介
![]()
刘欢
主治医师,病理科主任,商洛市医学会病理专业委员会委员,商洛市抗癌协会肿瘤微创介入专业委员会委员,从事病理专业工作17年,曾赴西安交通大学第一附属医院进行学习,多次参加病理专业知识学习培训班,对各种常见病、多发病的病理诊断有着丰富的经验,特别对消化道肿瘤、宫颈肿瘤的早期病变和皮肤病变及软组织肿瘤的病理诊断有着深入的研究。科室地址
病理科:丹凤县医院门诊楼四楼
咨询电话
![]()
供 稿:刘 欢 王煜东
图 片:赵晓鹏 王煜东
编 辑:闵雅璇 黄 梦
审 核:靳 妙 程 涛
![]()
![]()
欢迎关注丹凤县医院微信公众号,请长按识别下方二维码
![]()