![]()
丹凤县医院影像科由磁共振室、CT室、普通放射科组成,是我县设备最先进、检查项目最齐全、技术力量最雄厚、服务最周到的医学影像检查诊疗中心。有各类专业技术人员21名,其中副主任医师2名、主治医师3名、医师5名、影像技师9名、主管护师1名、护师1名。
![]()
![]()
科室设备我院影像科现有各类大型诊疗设备10余台,包括美国GE1.5T超导核磁共振、德国西门子64排128层螺旋CT、意大利GMM多功能数字胃肠机、联影悬吊DR、联影移动床旁DR、韩国Mis悬吊DR、遥控C型壁X线机、激光胶片打印机、彩色相片打印机、CT专用高压注射器、磁共振专用高压注射器及影像信息管理传输系统(PACS)等设备。GE1.5T超导磁共振
![]()
西门子64排128层螺旋CT
![]()
韩国Mis DR
![]()
意大利GMM多功能数字胃肠机
![]()
CT专用高压注射器
![]()
开展项目MRI磁共振设备是我县第一台检查设备,其扫描速度快、噪音低、图像分辨率高,能够进行全身各部位磁共振平扫、增强扫描及血管成像(MRA、MRV)、功能成像(DWI、DTI、SWI、MRS)、灌注成像、胰胆管水成像(MRCP)、泌尿系水成像(MRU)等检查。尤其在中枢神经系统、胆道系统、脊柱判断新旧骨折、骨转移瘤、早期股骨头缺血坏死、关节软骨损伤、韧带肌腱损伤有不可替代的优势,为临床提供更多、更丰富的影像诊断信息。磁共振的多方位、多参数、多轴倾斜断层对中枢神经系统病变的定位、定性诊断极其优越。中枢神经系统疾病的诊断中,除颅骨骨折和颅内急性出血不及CT外,在脑部肿瘤、颅内感染、脑血管病变、脑白质病变、脑发育畸形、脑退行性病变、脑室及蛛网膜下腔病变、脑挫伤、颅内亚急性血肿及脊髓的肿瘤、感染、血管性病变及外伤的诊断有明显优势。
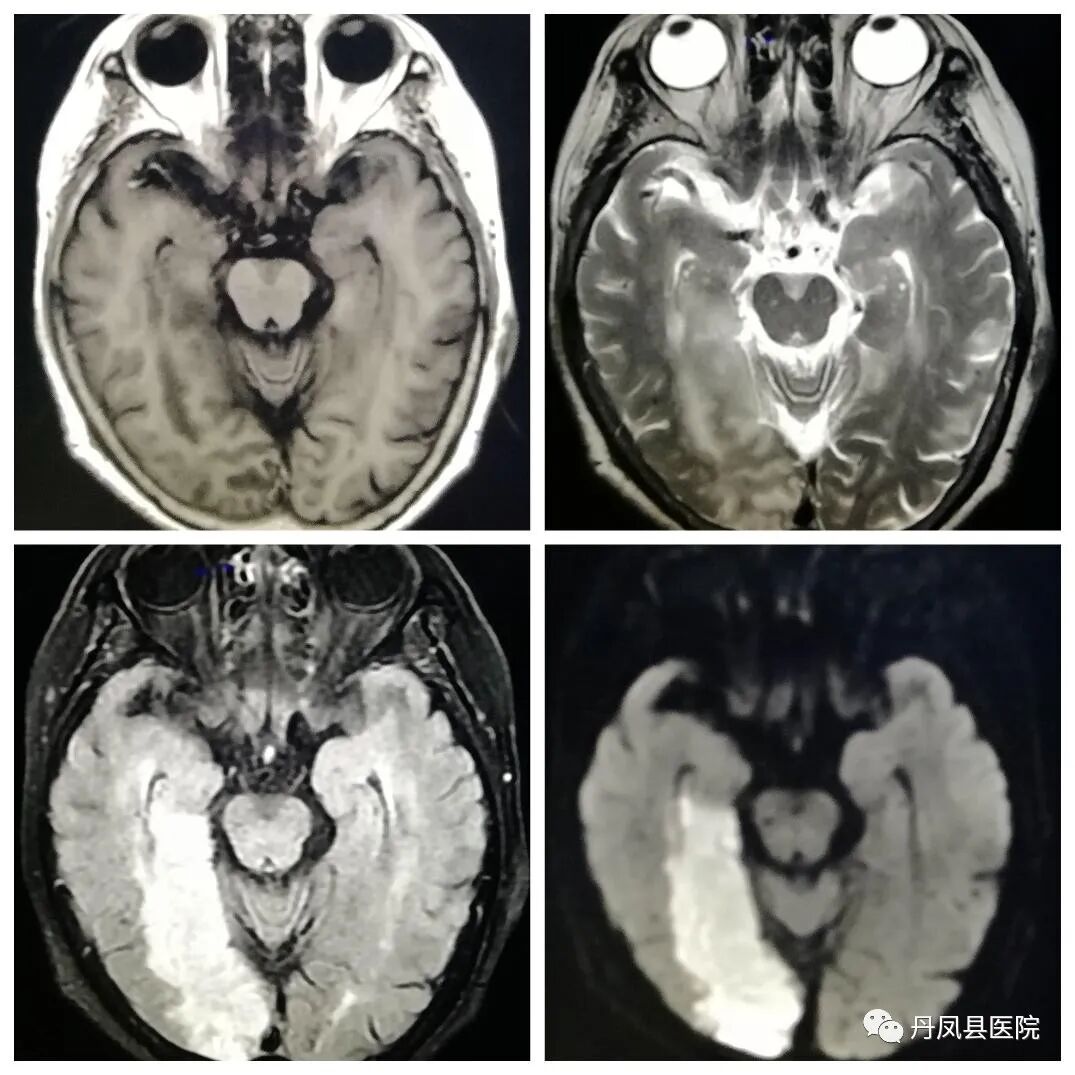
![]()
急性脑梗死
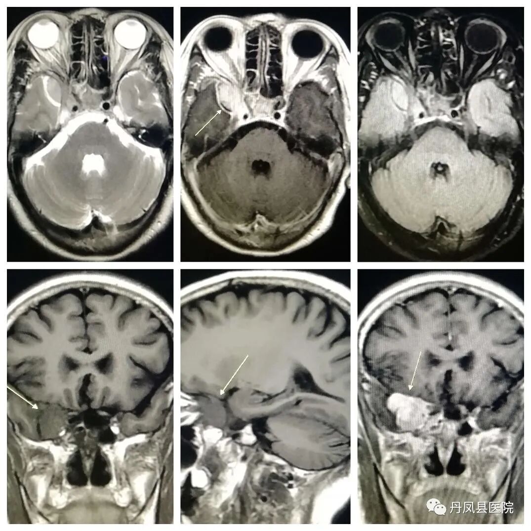
![]()
脑膜瘤
![颅脑血管3.png]()
颅脑血管MRA
颅脑血管MRA,是一种无创伤性血管成像技术,无需注射造影剂,能在短时间内获得清晰的脑血管图像。
![股骨头缺血坏死.jpg]()
股骨头缺血坏死
![肩袖损伤.jpg]()
肩袖损伤
![半月板撕裂.jpg]()
半月板撕裂
优秀的关节成像,清晰显示细微解剖结构、骨骼、关节软骨、韧带等结构。
![椎管内囊肿.jpg]()
椎管内囊肿
![磁共振脊柱全场拼接.jpg]()
磁共振脊柱全长拼接
![胰胆管水成像.jpg]()
胰胆管水成像(MRCP)
![泌尿系水成像.jpg]()
泌尿系水成像(MRU)
CTCT室目前开展全身各部位常规CT平扫、增强CT扫描、CT血管造影(CTA)、冠状动脉CTA、CT尿路造影(CTU)及骨关节CT三维重建等检查技术。64排128层CT具有扫描速度快、分辨率高、定位准确、低剂量辐射等优势,同时运用强大的后处理工作站进行数据处理、多平面重建,利用PACS网络传输系统与医院HIS系统对接,实时将检查图像、影像诊断结果传输到临床医生工作站终端,满足临床医生和患者的需求。尤其是CT血管造影、冠状动脉CTA检查技术应用的日益成熟,解决了患者三级医院看病难的实际问题,也填补了我县在这方面的空白。
![胸3.png]()
胸部高分辨CT
![]()
骨关节三维成像
![]()
冠状动脉CT血管造影(CTA)
![]()
胸腹主动脉CT血管造影(CTA)
胸腹主动脉CT血管造影(CTA)是一种有效诊断主动脉夹层的重要影像学方法,准确性、安全性高及无创等优点为诊断主动脉夹层的常规方法之一,准确判断夹层的类型、波及范围。
![]()
腹腔干、肠系膜上下动脉CT血管造影(CTA)
![]()
肺动脉CTPA
肺动脉CTPA诊断肺栓塞的敏感性可达75%~100%,特异性可达80%~100%,对于叶、段动脉显示准确性更高,有助于明确肺动脉内栓子的位置、范围、程度及肺动脉血流动力学状态等。
![]()
头颈部血管CTA
头颈部血管CTA是近年来发展较快的非创伤性血管造影技术,其在诊断颈部、脑血管病变、畸形等方面均显示了无可比拟的优越性,CTA在显示大脑前、中、后及前交通动脉方面敏感性可达89%~100%,该检查无动脉损伤及卒中风险,可很好显示血管壁钙化,能旋转360度,多方位、多角度对血管进行观察,避免血管重叠的干扰,可清晰显示颈内动脉、椎动脉起始段的钙化、扭曲和狭窄。普通放射
普通放射开展常规各部位DR摄影检查、床旁摄影、C型壁术中透视摄影,食管造影、上消化道造影、结肠造影、全消化道造影、静脉尿路造影、膀胱尿道造影、子宫输卵管造影、T型管造影、各类窦道造影及四肢全长、脊柱全长拼接摄影检查。![微信图片_20210419163637.jpg]()
脊柱全长拼接、双下肢全长拼接
![上消化道.jpg]()
上消化道造影
![结肠造影.jpg]()
结肠气钡双重造影
温馨提示
影像科坚持24小时接诊,无节假日,所有急诊检查30分钟内出报告,X线平诊检查2小时内出报告;CT上午检查下午出报告,下午检查次日上午出报告;磁共振检查24小时内出报告。各类CT、磁共振增强检查、CT血管造影检查及X线造影检查需提前预约。![]()
![]()
我院影像科秉承“人民医院为人民”的服务宗旨,不断学习专业知识,加强人才队伍建设,造就一支纪律严明、作风过硬、医德高尚、业务精湛的影像专业队伍,树立社会满意、患者信赖的现代医院新形象;用我们这双“亮眼”,当好医疗环节的“侦察兵”,为全县人民健康保驾护航。
![]()
![]()
专家简介
![]()
杨鸿涛
丹凤县医院影像科主任,放射医学副主任医师,优秀学科带头人。从事放射诊疗工作30余年,曾先后在第四军医大学西京医院、西安交通大学第一附属医院、北京市石景山医院、航空工业部三二〇一医院进修学习。理论基础扎实,影像诊断经验丰富,擅长骨关节、呼吸系统、中枢神经系统、消化系统常见病、多发病的影像诊断,特别对骨关节系统、呼吸系统疑难病的影像诊断有独到的见解。在《实用放射学杂志》等国内医学知名期刊上发表论文数篇。担任陕西省防痨协会影像委员会常委、陕西省保健协会影像专委会委员、陕西省放射诊疗质控委员会委员、西安交通大学医学影像联盟中心委员、商洛市放射学会委员、商洛市放射诊疗质控中心委员。专家简介
![]()
郭 飞
放射医学副主任医师,大学本科学历,学士学位,毕业于延安大学医学影像专业。从事医学影像诊断工作近20年,曾先后赴空军军医大学附属唐都医院、西安交通大学第一附属医院等多家三级综合医院影像科进行长期进修及短期培训学习,积累了较为丰富的临床知识及诊断经验。在CT诊断方面尤其是心脏冠脉CTA、及全身大血管CTA及MRI诊断方面有较为丰富的临床经验。曾多次被医院评为年度先进工作者。科室地址
影像中心:丹凤县医院急诊楼负一层
咨询电话
供 稿:杨鸿涛 冯忠波图 片:赵晓鹏 冯忠波编 辑:闵雅璇 审 核:靳 妙 程 涛![]()
![]()
欢迎关注丹凤县医院微信公众号,请长按识别下方二维码
![]()