![]()
![]()
![]()
近日,丹凤县医院骨一科成功开展一例“胸6、胸9椎体压缩性骨折经皮椎体成形术”。此项新技术的成熟开展标志着我院骨科微创技术又上了一个新的台阶,受到广大患者的一致好评。
![]()
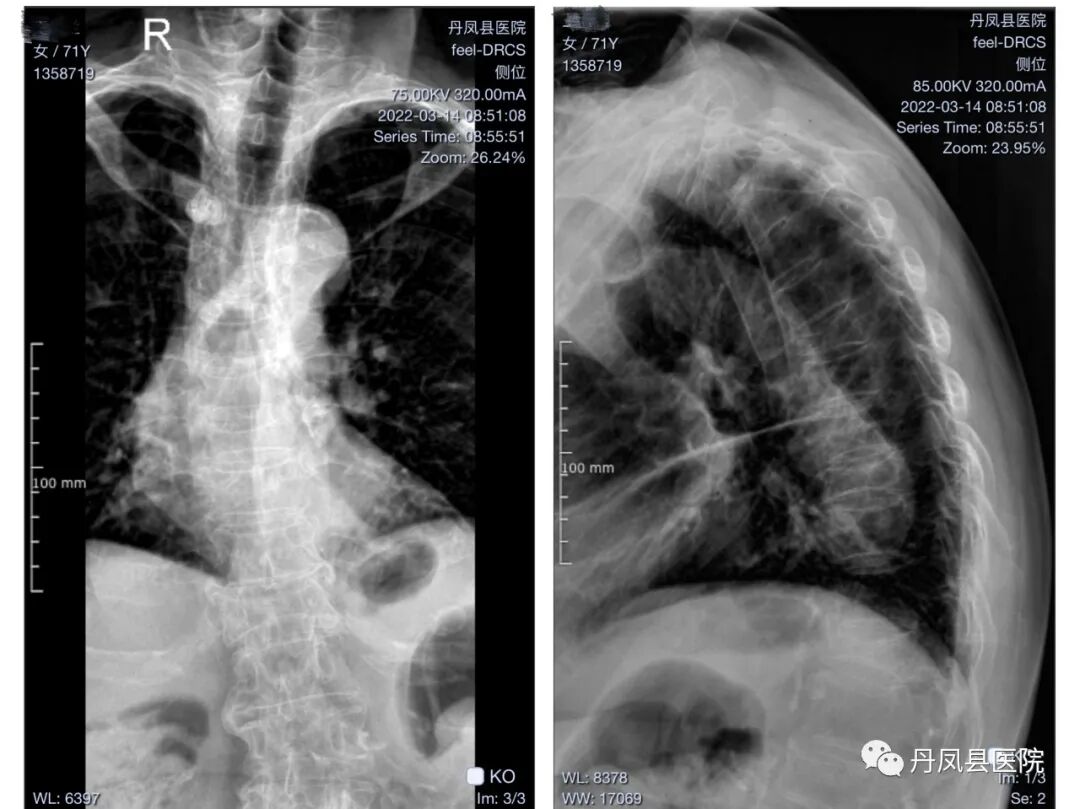
患者王某,女,71岁,因“摔倒后胸背部疼痛10天”之主诉于3月14日来我院骨一科就诊,入院后拍片提示“胸5、6、9、12椎体楔形改变”,进一步行MRI平扫等检查后,确诊为“胸6、胸9椎体压缩性骨折(病理性骨折)”。
收治入院后,经骨一科主任刘家民副主任医师、陈本华副主任医师对患者详细查体,患者诊断明确,拟为其行“胸6、胸9椎体压缩性骨折经皮椎体成形术”,并就手术难度及风险,微创手术的优势及术后功能锻炼的情况等向患者及家属做了详细的解释,在征得患者及其家属同意后,决定为患者实施手术。
3月21日,经过充分细致的术前准备,我院骨一科医师团队历时2小时,顺利完成手术。患者第二天即可下地行走,疼痛症状明显减轻。术后第三天患者疼痛感消失,平安出院。
![]()
图为患者术前胸椎影像图片![]()
图为患者术后胸椎影像图片
传统开放手术出血多、创伤大,术后容易产生并发症,而经皮椎体成形术是非常好的微创治疗方法,创伤小、风险小、手术时间短、术后恢复快、手术花费少,术后次日即可正常下地行走,正常饮食,正常进行功能锻炼。![]()
我院骨一科自2018年开展首例腰椎骨折经皮椎体成形术,至今已成功开展40余例,且均为本科室医师团队独立完成,上段椎体骨折最高平面已做到胸4椎体,手术效果良好,深受患者好评。骨一科全体医护人员始终一步一个脚印,认真踏实地探索微创手术方法,不断开展新业务、新技术,解除了广大患者的病痛,解决了患者外出求医的困难,减少了患者的花费。在今后的工作中,骨一科将不断进取、精益求精,以精湛的专科医疗技术,更好的为广大患者服务。丹凤县医院骨一科现有来自南京市第一院骨科专家李国建主任医师长期坐诊,进行学术交流与技术指导,欢迎广大患者朋友前来就诊咨询。
![]()
李国建 骨科主任医师中共党员。毕业于山东医科大学临床医学系,从事骨科专业20余年,被确定为南京市2016-2020年“333高层次人才培养工程”第三层次培养对象(中青年学术技术带头人)。曾在三甲医院进修学习在省级,国家级,中华级论文科研专著共发表近20余篇,科研8项,国家实用新型专利4项。在骨科方面能够独立开展了三、四级的手术,以创伤为主要特色,关节、脊柱专业为辅。擅长:主要开展骨盆骨折、脊柱骨折、四肢关节复杂骨折脱位,颈椎病、腰椎间盘突出症及狭窄症,髋、膝关节置换术,微创关节镜治疗四肢关节疾病,特别在老年性骨质疏松症性骨折方面有深入研究。![]()
科室地址
骨一科门诊:丹凤县医院门诊楼二楼
骨一科病区:丹凤县医院住院部十楼
咨询电话
![]()
审 核:程 涛 靳 妙
图 文 : 刘一诺
编 辑:闵雅璇
![]()
![]()
![]()
![]()
丹凤县医院
长按二维码识别关注