![]()
![]()
深夜急诊的电话...
2022年3月4日凌晨,一阵叮铃铃叮铃铃的手机铃声打破了夜晚的宁静,“徐主任,快,有个急诊脑卒中患者,发病才1个多小时,症状还在加重,您看是否需要溶栓?”“好的,我马上过来!”接到电话后,前来医疗支援我院的南京市第一医院神经内科徐梦怡副主任医师立刻从宿舍床上跃起,披上白大褂寒夜中夺门而出。此时,在县医院内一科(神经内科)病房,值班医生郑宁正在询问该患者病史,一个半小时前,患者在家中突然出现言语不清、左侧肢体活动不灵,既往有高血压、糖尿病、脑梗死、脑外伤手术病史。患者到达我院后,症状仍在加重,一度肢体完全瘫痪,我院立即给予头颅CT、生化血常规等检查。徐梦怡医生仔细查看患者后,诊断为“缺血性卒中(脑梗死)”,发病时间在静脉溶栓治疗时间窗内,建议立即启动“卒中绿色通道”,在评估该患者具备静脉溶栓适应症且无禁忌症后,给予了阿替普酶(rt-PA)静脉溶栓治疗。溶栓治疗后,内一科值班医生郑宁及当班护士对患者进行了严密的血压监测和病情观察。![]()
![]()
![]()
图分别为:徐梦怡医生在和家属沟通取得溶栓知情同意;指导溶栓药物配置;静脉溶栓进行中。![]()
晨查房...
溶栓后患者无明显不适主诉、血压平稳,自觉症状较前明显改善。3月4日晨,内一科主任李建华、徐梦怡副主任医师、李东副主任医师、石宁护士长查看患者,此时患者肢体无力、言语不清的症状已基本缓解,并可下床行走。“效果太好了!”家属激动地说道。此时,距离静脉溶栓治疗仅仅过了7个小时,即时效果显著!“静脉溶栓不仅可以及时改善脑梗死患者症状,在3-6月后仍可使患者长期获益。”徐梦怡医生介绍道。![]()
![]()
图为:3月4日晨查房,患者脑梗死症状基本恢复,可下床行走。 ![]()
![]()
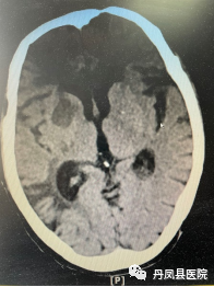
图分别为:溶栓后24小时头颅CT复查无出血;第二天头颅MRI提示右侧基底节区急性脑梗死。
![]()
什么是脑卒中?
脑卒中俗称“中风”,是一种急性脑血管疾病,是由于脑部血管突然破裂或因血管阻塞导致血液不能流入大脑而引起脑组织损伤的一组疾病。
脑卒中包括缺血性和出血性卒中,其中缺血性卒中又称脑梗死,是由于脑动脉被血栓堵塞后引起了脑组织局部缺血缺氧坏死,进而患者出现肢体麻木无力、口角歪斜、言语不清等神经功能缺损表现。
![]()
脑卒中具有高发病率、高死亡率的特点
![]()
![]()
静脉溶栓是时间窗内缺血性脑卒中的最有效治疗!
静脉溶栓是缺血性卒中首选最有效的治疗!静脉溶栓的原理简单来说就是通过给患者静脉输注溶栓药物,溶解堵塞脑部血管的血栓,从而开通堵塞血管,以尽可能拯救因血管堵塞而坏死的脑细胞,是目前首选的恢复急性缺血性脑卒中患者脑血流的措施。
我国目前常用的药物为重组组织型纤溶酶原激活剂(rt-PA),rt-PA静脉溶栓治疗时间窗为发病4.5 h以内,且越早溶栓,获益越大,风险越小,所以需要患者在时间窗内尽快赶到医院。
![]()
![]()
早期识别卒中、及时就诊
丹凤县医院内一科(神经内科)始终致力于持续优化急性脑卒中救治流程,缩短患者救治的时间,时间就是大脑!保卫大脑争分夺秒!脑梗发病初期识别尤为重要,在此教大家三步识别脑卒中。
![]()
![]()
对于患者而言,当出现上图中风120中的疑似症状时,最佳的做法不是继续等待症状变化,而是在第一时间到达医院,争取溶栓最佳治疗机会,以争取最好的临床预后!
![]()
苏陕协作下的内一科卒中中心建设
内一科“静脉溶栓、保卫大脑”的背后是苏陕协作的深厚情谊!是南京市第一医院神经内科对口支援陕西丹凤县医院内一科卒中中心的一个缩影!徐梦怡副主任医师所在的南京市第一医院是国家级示范高级卒中中心,苏陕医疗援助来到我院后,指导内一科进一步完善了卒中中心的建设,成功为多例患者开展了脑卒中静脉溶栓技术,效果良好!![]()
![]()
图分别为我院卒中中心、内一科卒中中心静脉溶栓培训
时间就是大脑!发生卒中征兆,要迅速拨打120,就近送往有救治条件的医院。丹凤县医院内一科卒中中心静脉溶栓技术成熟,拥有24小时开放的绿色通道24小时,为救治大脑保驾护航!![]()
专家简介
![]()
徐梦怡,副主任医师、南京医科大学临床医学硕士。参与翻译国外经典著作《眼震视图/眼震电图》,发表国内外论文数十篇,主持多项省级课题。担任江苏省研究型医院学会眩晕专业委员会常务委员、中国医药教育学会眩晕专业委员会委员、中国中药协会脑病专业委员会眩晕组青委常委、中国研究型医院学会眩晕专业委员会青年委员、中国卒中学会眩晕分会青年委员等学会任职。临床亚专科方向为眩晕和脑血管病,科室眩晕学组带头人,擅长眩晕和卒中相关疾病诊治。
![]()
专家简介
![]()
李建华,内科副主任医师,毕业于第四军医大学医疗专业。从事内科工作30年,对于内科疑难病症及危重病人抢救经验丰富,疗效好,特别是神经内科常见病及疑难杂症如脑梗塞、脑出血、癫痫、震颤麻痹等有独特之处。开展颅脑血肿穿刺清除工作20余年,挽救了大批高血压脑出血患者的生命,填补了内科对脑出血治疗的空白。
![]()
审 核:程 涛 靳 妙
编 辑:闵雅璇
![]()
![]()
![]()
![]()
丹凤县医院
长按二维码识别关注