![]()
点击蓝字·关注我们
![]()
如何正确刷牙?你真的刷对了吗?刷牙是我们每天都需要进行的日常行为,但刷牙方式不对,则会导致牙齿刷坏。![]()
楔状缺损
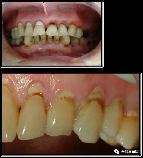
拉锯式刷牙,会把牙齿刷出“凹槽”,其实这种“凹槽”在医学上被称为“楔状缺损”,(如下图)![]()
正常牙齿在靠近牙龈的部分无任何缺损或者凹陷,在某些条件下,如长期用力横刷牙面,使得牙齿唇颊侧颈部受到较大的摩擦力,该部位的牙体硬组织逐渐丧失,最终形成外形为楔形缺损。楔状缺损的部位受冷热刺激和机械刺激比较敏感,严重者甚至波及牙髓神经,引发牙痛。牙髓炎引起的牙神经痛可不是闹着玩儿的。楔状缺损好发于上下颌尖牙与前磨牙,缺损部位由两个夹面组成,呈楔形,表面光滑,边缘整齐。![]()
楔状缺损根据深度分为三个等级,分别为浅层楔状缺损、中层楔状缺损以及深层楔状缺损。临床症状呈逐渐加重的趋势,较严重的楔状缺损可以诱发牙髓炎、根尖周炎、牙龈萎缩等并发症,甚至导致牙冠横向折断。![]()
![]()
巴氏刷牙法
学会正确刷牙,这可能是预防“楔状缺损”最好的方式。丹凤县医院口腔科副主任医师赵根荣向大家介绍一下正确的刷牙方式——巴氏刷牙法。![]()
以上的刷牙方法你学会了吗?![]()
专家简介
赵根荣口腔科主任副主任医师本科学历,陕西口腔医学会会员,商洛市口腔医学会常务理事。先后在陕西省人民医院口腔科,中山医科大学附属五院口腔科进修学习。率先在我县开展颌骨骨折内固定手术治疗、残根保留修复治疗,精通口腔科各类常见病、多发病诊疗,擅长种植牙、口腔错颌畸形的功能矫治和固定矫治,娴熟各类牙列缺损缺失的活动义齿修复、固定义齿美容修复及颌面部外伤美容缝合,对牙体牙髓病、牙周病、儿童口腔、各类复杂牙拔除、面部小肿物切除有20余年丰富的临床经验。科室简介
丹凤县医院口腔科是集口腔医疗和口腔保健、传播口腔卫生信息知识于一体的现代化口腔科室。科室现有医护人员6名,其中副主任医师2名、口腔技师2名、主管护师1名、护师1名。【先进设备】
口腔科配备商洛地区最先进的牙科综合治疗仪6台、笑气吸入镇痛装置、口腔内窥镜、手术显微镜、牙片机、口腔X射线数字化体层摄影设备CBCT、牙齿冷光美白仪、激光治疗仪等设备。【专科特色】
1、种植牙:种植牙---人类的第三幅牙。种植牙在不损伤相邻健康牙的情况下,并且以超高的咀嚼效率及逼真的美观效果恢复了牙体缺失的情况。种植牙使用寿命长、异物感小,人工牙根的刺激抑制了由于牙根缺失造成的牙槽骨萎缩现象。我科现已开展种植牙业务,并拥有专业的医疗团队、先进的种植设备、熟练的种植技术和无菌的手术环境,这些条件无一不为种植术的成功添砖加瓦。
2、残根保留技术:不拔除患者残根、残冠的基础上利用残根、残冠制作修复体。在时间上,可以缩短义齿修复的过程,是相对属于一种无创的方法。它同时还具备以下优点:
①残根的利用避免了拔牙及其并发症,对于年老体弱者和高血压、心脏病患者更有特殊意义。
②保存的残根没有排斥现象,与种植义齿相比不存在排斥问题。
③残根的保留能够给颌骨足够的生理刺激,从而可以避免牙槽骨的吸收,有利于义齿的美观和稳固。
审 核:程 涛 靳 妙监 制:刘 刚供 稿:口腔科编 辑:闵雅璇![]()
![]()
![]()
![]()