![]()
点击蓝字,关注丹凤县医院
一场秋雨一场寒。
入秋之后,季节交替,天气多变,一天中早、晚温差较大,加上秋季气候干燥,非常容易出现早晚受凉、中午受热等情况,从而引发发烧、咳嗽、流涕等感冒症状。医院的各个角落都是生病的孩子和焦急不安的家长,儿科病区里充斥着咳嗽声、哭泣声以及家长嘶哑的安慰声...那么是什么原因导致的如此场景呢?
背后的“黑手”是什么呢?
支原体感染就是导致这些情况的罪魁祸首之一!
![]()
丹凤县医院儿科病房近期接诊了多例肺炎支原体感染致支气管肺炎患儿,现将部分病例整理如下:病例一
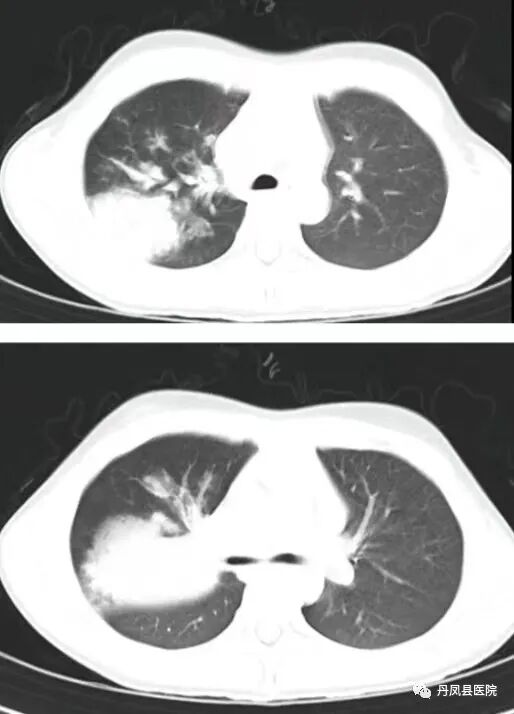
患儿女,9岁11月,因“发热、咳嗽4天”入院,病程中反复发热,热峰39.2℃,伴阵发性连声咳嗽,晨起尤甚,咳黄痰,口服药物无效,来我院,以“支气管肺炎”收住院。入院查体:T36.7℃,P100次/分,R30次/分,BP96/58mmHg。精神可,咽部广泛充血,右肺呼吸音减低,可闻及细小湿性啰音,心音有力,律齐,腹平软,神经系统查体无异常。辅助检查:血常规:WBC 7.00×109/L,L18.80%,M10.10%,N67.40%,RBC4.65×1012/L,HGB128g/L,PLT217×109/L, CRP22.2mg/L;hsCRP>5mg/L。肝功,肾功、血糖、血脂、心肌酶及电解质大致正常;降钙素<0.05ng/ml;支原体IgM抗体:阳性,血沉:23mm/h;凝血常规:D二聚体:2.28ug/ml、余正常;痰培养:阴性;胸部CT:两肺透光均匀,纹理增重,右肺上叶前段、后段见斑片状、团片状高密度实变影影。叶、段支气管开口畅通。入院诊断:支气管肺炎;肺炎支原体感染。诊疗经过及转归:入院后给予阿奇霉素抗感染,低分子肝素钙抗凝,布地奈德,特布他林雾化吸入,孟鲁司特钠口服等对症治疗。治疗11天复查凝血五项正常。复查胸部CT回报:原右肺上叶尖后段大片状高密度影吸收。顺利康复出院。1周后随访患儿无不适。![]()
![]()
治疗前后胸部CT对比病例二
患儿女,8岁。因"发热、咳嗽、皮疹4天"于2023年08月10日入院,患儿病程中反复发热,最高体温39.0℃,伴阵发性咳嗽,夜间为甚,后全身出现淡红色皮疹,感瘙痒不适,可自行缓解,当地诊所给予口服药物及输液治疗3天无效,体温仍反复升高,咳嗽较前增多,且皮疹反复,来我院。入院查体:T39.1℃,P118次/分,R32次/分,W23kg。神志清楚,精神、反应差。颜面部及双耳皮肤可见淡红色大小不等皮疹,伴瘙痒,按压可褪色。双耳垂肿胀,浅表淋巴结未触及肿大,咽部广泛充血,双侧扁桃体 I °肿大,双肺呼吸音粗糙,双肺可闻及细小湿啰音。心律齐,心音有力,腹软,无压痛,神经系统查体无异常。辅助检查:血常规示:WBC5.32×109/L, L47.6%, M6.0%,N44.4%,RBC4.06×1012/L,HGB115g/ L ,PLT288×109/L 。肝肾功、血糖、电解质、心肌酶大致正常。支原体IgM抗体:阳性;血沉26mm/h。降钙素原0.06ng/ml 。凝血系列示:D ﹣二聚体2.19ng/ ml ,余项正常。痰培养:阴性;心电图:正常。胸部 CT 示:右肺上叶及下叶背段感染性病变,右肺上叶前段实变。入院诊断:支气管肺炎;肺炎支原体感染;感染性荨麻疹。诊疗经过及转归:入院后予阿奇霉素抗感染、低分子肝素钙抗凝、地塞米松、葡萄糖酸钙、维生素 C 抗过敏,布地奈德,特布他林雾化吸入等对症治疗。入院后治疗2天体温降至正常、咳嗽减轻,治疗3天皮疹完全消退。8.17复查凝血结果正常。8.20复查胸部 CT 示:与本院2023.8.10CT对比:右肺上叶感染性病变较前吸收好转:上叶前段实变范围较前局限。![]()
![]()
治疗前后胸部CT对比病例三
患儿男,6岁。以“发热6天,咳嗽3天”人院。患儿入院前6天出现发热,最高体温39.8℃,当地诊所治疗3天仍有发热,伴阵发性咳嗽,夜间最起为著,有痰不易咳出,遂来我院。入院查体:T37.3℃,PI12次/分,R26次/分 BP90/60mmHg,神志清楚,精神欠佳,咽部广泛充血,右上肺叩实音,左肺呼吸音粗,右肺呼吸音减弱,心律齐,心音有力。腹平软,肠鸣音4-5次/分,神经系统检查无明显异常。入院前检查:血常规:WBC6.06×109/L,L37.60%,M11.70%, N48.7%,RBC4.71×1012/L,HGB117g/L,PLT223×109/L,CRP7.8mg/L,hsCRP>5.0mg/L。肝肾功、血糖、电解质、心肌酶大致正常。凝血常规正常;痰培养:阴性;肺支原体gM抗体阳性;心电图示:窦性心动过速;胸部CT示:右肺中叶大叶性肺炎,两肺下叶支气管肺炎。入院诊断:支气管肺炎;肺炎支原体感染。诊疗经过:入院后给予阿奇霉素抗感染感染、溴己新化痰,布地奈德,特布他林雾化对症处理。经住院治疗13天,病情明显好转,出院后居家口服药物巩固治疗。出院2周病情完全恢复,复查CT无异常。![]()
![]()
![]()
![]()
治疗前后胸部CT对比![]()
![]()
图为南京“组团式”帮扶医疗队队员、丹凤县医院儿科主任薛春玲日常查房病例太多,篇幅有限,不一一赘述。那么,得了肺炎支原体肺炎,该怎么治疗呢?听听南京“组团式”帮扶医疗队队员、丹凤县医院儿科主任薛春玲怎么说?最佳治疗窗口期为发热后5-10d以内。病程14d以后仍持续发热,病情无好转者,常遗留后遗症。
大环内酯类抗菌药物为MPP的首选治疗,包括阿奇霉素、克拉霉素、红霉素、罗红霉素和乙酰吉他霉素。
糖皮质激素主要用于重症和危重症患儿
支气管镜介入治疗:怀疑有黏液栓堵塞和PB的重症患儿应尽早进行,以减少并发症和后遗症的发生。
静脉注射免疫球蛋白G(IVIG)治疗:用于合并中枢神经系统表现、重症皮肤黏膜损害、血液系统表现等严重肺外并发症,混合腺病毒感染的重症MPP或存在超强免疫炎症反应,肺内损伤严重等推荐使用。
胸腔引流:中到大量胸腔积液者应尽早进行胸腔穿刺抽液或胸腔闭式引流。
预防性抗凝治疗:存在D-二聚体明显升高,但无肺栓塞临床表现的重症患者可考虑使用。
抗细菌治疗:如高度怀疑或已明确MPP合并SP、SA感染,且耐药的可能性较低,可联合应用第2、3代头孢类抗菌药物
中药:根据辨证施治原则,MPP可以联合使用清热宣肺等中药治疗。
薛主任温馨提示
肺炎支原体主要通过呼吸道传播,科学规范佩戴口罩,勤洗手,养成文明呼吸道礼仪是预防传播的有效方式。秋冬季是呼吸道传染病高发季节,尽量避免前往人员密集而空气流通欠佳的公共场所,室内要加强空气流通,每日保持一定时间的开窗通风,亦可减少交叉感染。![]()
薛春玲,“组团式”帮扶丹凤县医院南京医疗队队员,副主任医师,中国医科大学儿科学硕士,南京医科大学附属儿童医院急诊科副主任医师。发表国内外论文数篇,发明专利1项,连续两年在南京市职工职业(行业)技能大赛中分别荣获 “南京市五一创新能手”和“2021年度南京市卫生应急能手”称号 。帮扶期间任丹凤县医院儿科主任。擅长:儿童常见病、多发病诊治和预防,尤其是儿童呼吸系统、消化系统疾病、小儿急性中毒救治;能够独立完成气管插管、呼吸机应用、儿童血液净化治疗,熟练儿童动静脉置管、腰穿、骨穿等有创检查操作,具备十余年的临床工作经验。![]()
![]()
陈元鹏 ,丹凤县医院儿科副主任,副主任医师,毕业于延安大学临床医学系,本科学历,医学学士,从事临床工作27年,曾赴西安市中心医院、西北妇女儿童医院等进修,先后在国家及省级期刊发表论文3篇,多次荣获医院“年度考核优秀”和“先进工作者”。擅长:新生儿科方面擅长新生儿窒息抢救,早产儿的救治,新生儿黄疸等疾病的救治。儿科方面擅长小儿呼吸系统疾病如支气管哮喘、咳嗽变异性哮喘、支气管肺炎的诊断和治疗,对于偏食、消瘦及抵抗力差、反复感冒、慢性咳嗽等疾病,进行规范化、系统化治疗,效果良好。
【科室简介】丹凤县医院儿科现有床位59张,现有医护人员26人,副主任医师3名,主治医师4名,主管护师12人,护师6人,护士1人,科内的业务骨干相继前往南京市儿童医院、西安市儿童医院、陕西省妇幼医院等上级医院进修学习,已组成一支专业的医疗团队;在南京市帮扶专家薛春玲主任和陈元鹏副主任带领下目前已收治多例重症支气管肺炎患儿,且顺利康复出院;现我科可常规收治而儿科呼吸系统/消化系统/神经系统等的常见病及多发病,工作人员爱岗敬业、吃苦耐劳、乐于奉献,竭诚为全县就诊患儿提供优质、高效、温馨的医疗护理服务。丹凤县医院儿科门诊周一至周六早开放,住院部三楼儿科病区24小时开诊。![]()
![]()
![]()
审 核:程 涛 靳 妙
监 制:刘 刚
编 辑:陈爱玲
供 稿:儿 科
![]()
![]()
![]()
![]()